Berita
Fiqih
Lifestyle
Haji & Umrah
Fashion
Kuliner
Ragam
Tips
Profil
Tokoh
Video
Sign in
Welcome!
Log into your account
nama pengguna
kata sandi Anda
Lupa kata sandi Anda?
Privacy Policy
Password recovery
Memulihkan kata sandi anda
email Anda
pencarian
Sign in
Selamat Datang! Masuk ke akun Anda
nama pengguna
kata sandi Anda
Forgot your password? Get help
Privacy Policy
Password recovery
Memulihkan kata sandi anda
email Anda
Sebuah kata sandi akan dikirimkan ke email Anda.
MOESLIM.ID
Berita
Fiqih
Lifestyle
Haji & Umrah
Fashion
Kuliner
Ragam
Tips
Profil
Tokoh
Video
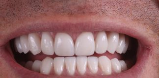
Label: Hukum Memutihkan Gigi
Bagaimana Hukum Memutihkan Gigi Dalam Islam?
redaksi
-
13 Oktober 2021
Update Terbaru
Kisah Muhammad Al Hanafiyyah Bin Ali Bin Abi Thalib (2)
27 April 2026
Kemeja Twill, Tampil Elegan dan Bisa Juga Kasual
27 April 2026
MUI Dorong Optimalisasi Koperasi Merah Putih Berbasis Syariah
25 April 2026
Islam Agama Terbesar Kedua di Kenya, Didominasi Wilayah Pesisir
25 April 2026
Gaya Hidup Islami, DEKS BI Sosialisasikan Hastag Halal Dulu
24 April 2026